Qulaqcıqların fibrilyasiyasının idarə olunmasına dair Avropa Kardiologiya Cəmiyyəti tövsiyələrinin təkmilləşdirilmiş 2012-ci il varianti Dərc edilib: / Nəşr tarixi: 04.10.2023
Sarkhan1 Mammadov1
Hamiləlik dövründə aortal xəstəliklər Dərc edilib: Cild 23, Nömrə 1, 2023 / Nəşr tarixi: 14.10.2023
Gülanə Ağayeva, Mayaxanım Rzayeva
Qulaqcıqların fibrilyasiyasının idarə olunmasına dair Avropa Kardiologiya Cəmiyyəti tövsiyələrinin təkmilləşdirilmiş 2012-ci il varianti Dərc edilib: / Nəşr tarixi: 10.10.2023
Oqtay Musayev, Mehman Mamedov, Ruslan Nəcəfov, Rafael Daşdəmirov
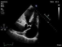
Əməliyyat olunmamış 52 yaşlı Truncus arteriosus tip4 xəstə Dərc edilib: Cild 23, Nömrə 1, 2023 / Nəşr tarixi: 14.10.2023
Ləman Eyvazlı, Oqtay Musayev, Firdovsi İbrahimov
Yüksək Həssaslıqlı Troponin-İ müxtəlif klinik situasiyalarda Dərc edilib: Cild 23, Nömrə 1, 2023 / Nəşr tarixi: 14.10.2023
Firdovsi İbrahimov, Kamala Hüseynova
Aterosklerotik ürək-damar xəstəliyinin ikincili profilaktikası: dislipidemiyanın idarə olunmasında hədəfə nə qədər yaxınıq (SURF CAD II tədqiqatının Azərbaycan üzrə nəticələri)? Dərc edilib: Cild 23, Nömrə 1, 2023 / Nəşr tarixi: 14.10.2023
Rəhimə Qabulova, Şəxanə Ələsgərli, A. Musayeva, M. İsayeva, Sonaxanım Qəhrəmanova, Qalib İmanov, Firdovsi İbrahimov, Fərid Əliyev, R. Rəsulova, Üzeyir Rəhimov
Sinkoplu xəstələrə kardioloji yanaşma və müalicə prinsipləri Dərc edilib: Cild 23, Nömrə 1, 2023 / Nəşr tarixi: 14.10.2023
Rafiq Xəlilov, Tofiq Cahangirov
Xroniki ürək çatışmazlığı (XÜÇ) ilə birləşən arterial hipertensiyanın (AH) müalicəsində kandesartanın effektivliyi Dərc edilib: Cild 23, Nömrə 1, 2023 / Nəşr tarixi: 14.10.2023
F. İsrafilbəyova, Tofiq Cahangirov, N. Fərəcova, Q. Əliyeva, E. Həsənova, L. Kərimova, C. Qurbanova
Koronar arteriyaların dominantlığı, anomaliyaları və müxtəlifliyi: Azərbaycandan təkmərkəzli araşdırma Dərc edilib: Cild 23, Nömrə 1, 2023 / Nəşr tarixi: 14.10.2023
Şəxanə Ələsgərli, Firdovsi İbrahimov, Şəfa Şahbazova, Oqtay Musayev, Gulay Məmmədova, Mehriban İsgəndərova, Elnurə Qardaşova , Rəhimə Qabulova

