Abstrakt
Hipertrofik kardiomiopatiya (HKMP) genetik mənşəli miokard xəstəliyi olub, sol mədəciyin izah olunmayan qalınlaşması ilə xarakterizə olunur. Xəstəliyin klinik gedişi son dərəcə dəyişkəndir: bəzi xəstələr uzun illər simptomsuz qala bildiyi halda, digərlərində ağır ürək çatışmazlığı, ciddi aritmiyalar və ani kardiyak ölüm (AKÖ) riski inkişaf edə bilər. Bu heterogenlik HKMP xəstələrində riskin düzgün qiymətləndirilməsini və fərdi yanaşmanı əsas zərurətə çevirir.
Əsas mətn
Giriş
Hipertrofik kardiomiopatiya (HKMP) genetik mənşəli miokard xəstəliyi olub, sol mədəciyin izah olunmayan qalınlaşması ilə xarakterizə olunur. Xəstəliyin klinik gedişi son dərəcə dəyişkəndir: bəzi xəstələr uzun illər simptomsuz qala bildiyi halda, digərlərində ağır ürək çatışmazlığı, ciddi aritmiyalar və ani kardiyak ölüm (AKÖ) riski inkişaf edə bilər. Bu heterogenlik HKMP xəstələrində riskin düzgün qiymətləndirilməsini və fərdi yanaşmanı əsas zərurətə çevirir.
Ekokardioqrafiya ilkin və əsas görüntüləmə üsulu olaraq qalmaqda davam etsə də, ürək maqnit-rezonans tomoqrafiyası (ürək MRT-si, CMR) son illərdə HKMP-nin həm diaqnostikasında, həm də risk stratifikasiyası və müalicə qərarlarında mühüm rol qazanmışdır. Xüsusilə Avropa Kardiologiya Cəmiyyəti (ESC) və Amerika Kardiologiya Kolleci / Amerika Ürək Assosiasiyasının (AHA/ACC) müasir tövsiyələrində ürək MRT-si tamamlayıcı deyil, bir çox hallarda qərarverici görüntüləmə üsulu kimi vurğulanır.
Epidemiologiya və klinik əhəmiyyət
HKMP ən çox rast gəlinən irsi kardiomiopatiyalardan biridir. Ümumi populyasiyada yayılma tezliyi təxminən 1:500 olaraq qəbul edilir, genetik variantların mövcudluğu nəzərə alındıqda isə bu göstərici 1:200–250-yə qədər yüksəlir. Xəstələrin əksəriyyəti orta yaş dövründə diaqnoz alsa da, xəstəlik uşaqlıq və ya gec yetkinlik dövründə də üzə çıxa bilər. HKMP-də illik ani kardiyak ölüm riski orta hesabla 0,5–1% təşkil edir. Lakin seçilmiş alt qruplarda bu risk daha yüksəkdir. Xəstələrin mühüm bir hissəsi nə aşağı, nə də açıq-aşkar yüksək risk qrupuna daxil olur və orta risk qrupunda olan xəstələr kimi qiymətləndirilir. Məhz bu xəstələrdə klinik qərarvermə ən çətin mərhələdir.
Ürək MRT-nin HKMP-də ümumi üstünlükləri
Ürək MRT-si HKMP xəstələrində bir müayinə çərçivəsində aşağıdakı əsas komponentləri qiymətlən-dirməyə imkan verir:
• Miokard hipertrofiyasının lokalizasiyası və yayılması
• Sol mədəciyin həcmləri və ejeksiya fraksiyası
• Regional divar hərəkət pozğunluqları
• Mitral qapaq və papillyar əzələlərin anatomiyası
• Miokard fibrozunun və çapıq toxumasının birbaşa vizualizasiyası
Bu xüsusiyyətlər MRT-ni ekokardioqrafiyanı tamamlayan və bəzi hallarda ondan üstün olan metod halına gətirir.
ESC və AHA/ACC tövsiyələrində ürək MRT-nin yeri:
Müasir ESC və AHA/ACC guideline-larına əsasən ürək MRT-si aşağıdakı hallarda tövsiyə olunur:
Class I tövsiyə
- Ekokardioqrafiya qeyri-kafi və ya məhdud olduqda
- Sol mədəciyin maksimal divar qalınlığının dəqiq ölçülməsi üçün
Class IIa tövsiyə
- Ani kardiyak ölüm riskinin qiymətləndirilməsində əlavə məlumat məqsədilə
- Orta risk qrupunda olan xəstələrdə ICD qərarı qeyri-müəyyən olduqda
- Miokard fibrozunun gecikmiş gadolinium tutulumu (LGE) ilə aşkarlanması üçün
Bu tövsiyələr ürək MRT-sinin yalnız diaqnostik deyil, klinik qərarvermədə aktiv rol oynadığını göstərir.
Miokard fibrozunun (LGE) klinik əhəmiyyəti
Gecikmiş gadolinium tutulumu (LGE) HKMP-də MRT-nin ən mühüm komponentlərindən biridir. Tədqiqatlara əsasən HKMP xəstələrinin 40–60%-ində LGE aşkar olunur. LGE-nin mövcudluğu və yayğınlığı:
1. Aritmiya riskinin artması
2. Ani kardiyak ölüm ehtimalının yüksəlməsi
3. Klinik gedişin daha ağır olması ilə əlaqələndirilir.
Xüsusilə miokard kütləsinin >15%-ni əhatə edən fibrozun müstəqil risk faktoru olduğu göstərilmişdir və bu xüsusi ilə orta-risk qrupunda olan xəstələrdə daha əhəmiyyətlidir. Orta risk qrupi dedikdə HCM-SCD risk skorlaması ilə 5 illik AKÖ(ani kardiak ölüm) riski 4-6% olan xəstələr nəzərdə tutulur. Orta risk qrupunda olan HKMP xəstələrdə klassik risk faktorları (ailə anamnezi, sinkop, maksimal divar qalınlığı və s.) ICD qərarı üçün kifayət etməyə bilər. Bu hallarda ürək MRT-si əlavə risk göstəriciləri təqdim edir:
- Geniş yayılmış və ya patchy LGE
- Diffuz fibrozun T1 mapping və ECV artımı ilə aşkarlanması
- Aritmogen substratın toxuma səviyyəsində göstərilməsi və bu məlumatlar klinik olaraq ICD qərarının əsaslandırılmasına kömək edir.
Profilaktik ICD implantasiyası yüksək riskli HKMP xəstələrində ani kardiyak ölümün qarşısını alan əsas müdaxilədir. Böyük kohort tədqiqatlarına əsasən, ICD olan HKMP xəstələrində müvafiq şoklarla qarşısı alınan letal aritmiyaların illik tezliyi 3–5% təşkil edir. Yüksək riskli xəstələrdə ICD ani ölüm riskini təxminən 60–70% azaldır. Ürək MRT-si bu müdaxilənin kimin üçün daha faydalı olacağını müəyyən etməyə kömək edir.
Hipertrofiyası olan xəstələrdə ayırıcı diaqnostik rol
Sol mədəciyin qalınlaşması hər zaman HKMP ilə əlaqəli olmaya bilər. Ürək MRT-si aşağıdakı vəziyyətlərin differensiasiyasında mühüm rol oynayır:
1. Kardiyak amiloidoz: diffuz subendokardial və ya transmural LGE, yüksək native T1 və ECV
2. Fabry xəstəliyi: aşağı native T1, bazal inferolateral LGE
3. Hipertoniya və atlet ürəyi: simmetrik hipertrofiya, LGE-nin olmaması
Bu fərqləndirmə yanlış risk qiymətləndirilməsinin və lazımsız ICD qərarlarının qarşısını alır və müalicənin gedişatında və proqnozun müəyyən edilməsində kömək edir. Bundan əlavə Yeni nəsil MRT texnikaları olan T1 və T2 mapping HKMP-də diffuz fibrozun erkən mərhələdə aşkarlanmasına, LGE mənfi olan, lakin simptomatik xəstələrin qiymətləndirilməsinə, aktiv miokard zədələnməsinin göstərilməsinə imkan verir və risk stratifikasiyasını daha da dəqiqləşdirir. Ürək MRT-nin hipertrofik kardiomiopatiyada risk stratifikasiyası və klinik qərarverməyə təsirini daha praktik şəkildə nümayiş etdirmək məqsədilə aşağıda seçilmiş klinik hal təqdim olunur, hansı ki, xüsusilə orta risk qrupunda olan xəstələrdə ürək MRT tapıntılarının ICD qərarına necə təsir etdiyini göstərir.
Klinik Hal
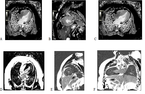
Xəstə 26 yaş, kişi
Bariatrik əməliyyat üçün kardioloq kons olunur.
Şikayətlət: bayılma(1 dəfə), təngnəfəslik, boğulma
EKQ: I,II,V1-V6 aparmalarda T dalğa neqayivliyi qeyd edilir.
EXO: LVEF-60%, LA-37 mm, LV 55/20 mm, mid-apikal hipertrofiya(mid septumda 24 mm, mid anterior 22 mm, apikal seqmentlər 23-24 mm qeyd edilir)- Yamaquçi sindromu?
HCM-SCD risk scoru:5.7% Xəstəyə Kardiak MRT və Holer-monitoring tövsiyə edildi. Holter-monitoringdə davamlı və davamsız aşkarlanmadı.
Kardiak-MR: Mid-apikal HKMP təsdiqləndi. Yamaquçi sindromu diaqnozu təsdiq edildi. T1 mappingdə bir neçə seqmentdə maping dəyərləri artmış, lakin diffuz fibroz görülmədi. Həlledici məqam xəstədə midmiokardial LGE 15% olaraq hesablandı. Bu risk dəyərləndirməsini xəstə üçün dəyişdi və İCD implantasiyası qərarı verildi.
Nəticə
Hipertrofik kardiomiopatiyada ürək MRT-si müasir klinik yanaşmanın ayrılmaz hissəsidir. Xüsusilə orta risk qrupunda olan xəstələrdə MRT-nin təqdim etdiyi toxuma səviyyəli məlumatlar ESC və AHA/ACC tövsiyələrinə uyğun olaraq risk stratifikasiyasını gücləndirir və ICD qərarının əsaslandırılmasına imkan yaradır. Bu yanaşma ani kardiyak ölüm riskinin azaldılmasına və fərdi xəstə idarəçiliyinə mühüm töhfə verir. Həmçinin Hipertrofiyası olan bir çox xəstələrdə diferrensial diaqnostika aparılmasınında, altda yatan digər toplanma xəstəliklərinin mövcudluğunu müəyyən edilməsində, Hipertenziyaya bağlı ikincili dəyişikliklərin aşkarlanmasında, İdmançı ürəyinin HKMP ilə fərqləndirilməsində əvəzsiz rol oynayır.
Şəkillər
Açar sözlər
İstinadlar
Məqalə barədə təfərrüatlar:
Nəşr tarixçəsi
Dərc edilib: 28.Jun.2025
Müəllif hüququ
© 2013-2025. Azərbaycan Kardiologiya Cəmiyyətinin rəsmi nəşri. Jurnal "Uptodate in Medicine" tibb nəşriyyatı tərəfindən dərc olunur. Bütün hüquqlar qorunur.Əlaqəli məqalələr
İNFARKTDAN SONRAKI KARDIOSKLEROZ OLAN XƏSTƏLƏRDƏ ARTERIAL HIPERTENZIYANIN LIPID METABOLİZMINƏ TƏSIRI
Baxılıb: 11

